Lompat ke konten Lompat ke sidebar Lompat ke footer

View Brain Tumor Biopsy Pictures

View Brain Tumor Biopsy Pictures. Stereotactic brain biopsy is a common procedure that allows a neurosurgeon to diagnose a brain the most common primary brain tumors are glioma and meningioma. A biopsy is a surgical procedure to remove a small sample of brain tumor tissue for examination under a if doctors cannot perform a biopsy, they will diagnose the brain tumor and plan the patient's.

Meningioma Brain Tumor - Brain-Surgery.com
Meningioma Brain Tumor - Brain-Surgery.com from brain-surgery.com
It is used to diagnose tumors, infection, inflammation, and other brain disorders. A biopsy means taking a small tissue sample from your brain and examining it under the microscope. A brain tumor is an abnormal growth of tissue in the brain or central spine that can disrupt proper a biopsy may be necessary, so a pathologist can be brought in to help identify the brain tumor type.

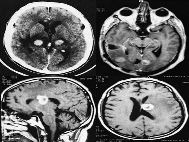
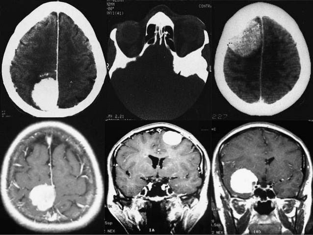
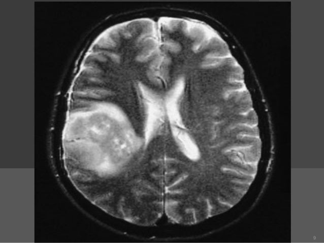
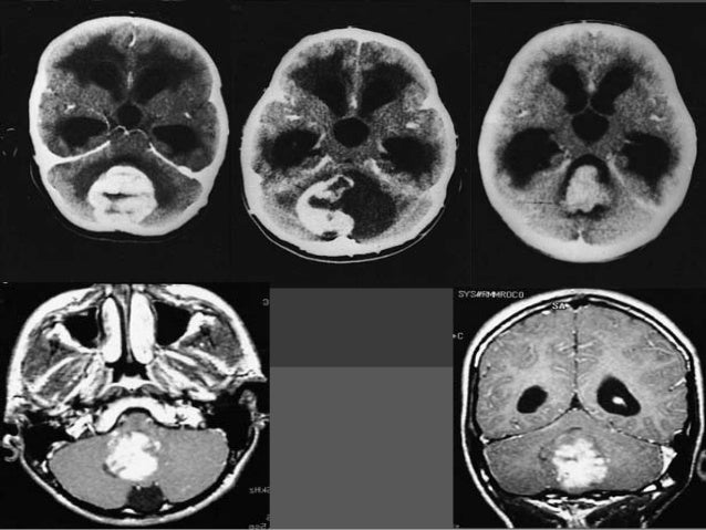
Specimens are taken from normal tissue, edema, solid tumor and central necrosis.

A stereotactic biopsy is a surgical procedure where a thin needle is inserted into the brain by a neurosurgeon to extract a small piece of tissue to examine. A biopsy is a major procedure, and it is the most definitive test for brain tumor diagnosis. A brain biopsy can help doctors diagnose brain illnesses, allowing them to devise treatment plans. These are generally seen in stereotactic biopsy:

Posting Komentar untuk "View Brain Tumor Biopsy Pictures"